3716
Skip to content
BOOK ONLINE
Email Us
google social button
facebook social button
instagram social button
CALL
(07) 3333 2011
Don't Miss Out!
Check Your Benefits »
Essential Care Dental
Menu
Home
About Us
Meet the Team
Club Sponsorship
Blog
Our Dentists
Our Services
General Dentistry
Check & Cleans
Children's Dentistry
Emergency Dentistry
Tooth Extractions
Dental Fillings
Gum Disease Treatment
Teeth Whitening
Custom Mouthguards
Restorative Dentistry
Dental Crowns & Bridges
Dental Implants
Dental Veneers
Specialty Services
Invisalign
Sleep Apnoea
FREE
SMILE DISCOVERY
SESSION
Learn More
Orthodontics
Smile Discovery Session
New Patients
Specials
Smile Gallery
Zip Pay
TLC Payment Plan
Payment Options
Contact Us
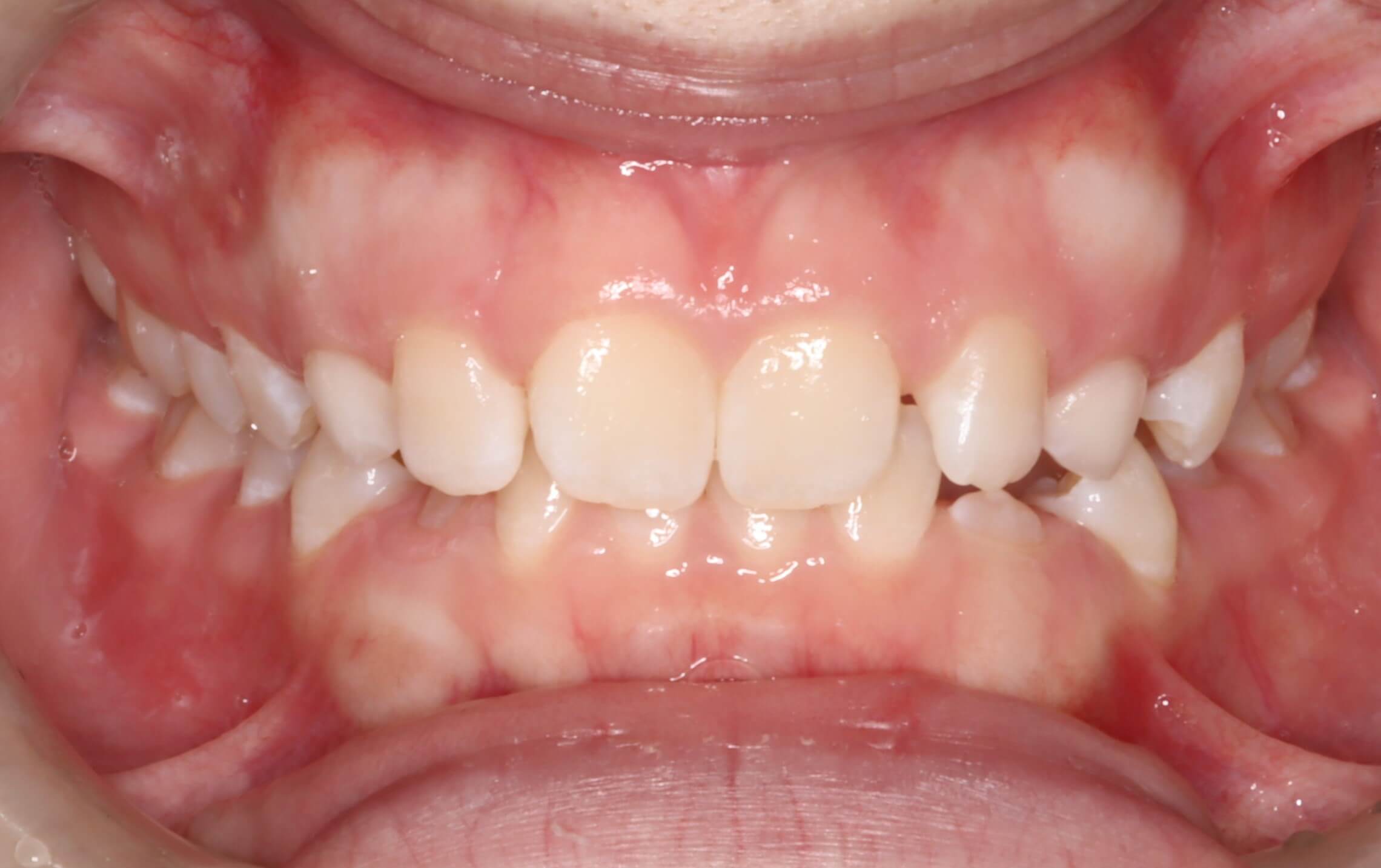
Essential Care Dental Smile Gallery
See Our Results
Smile Makeovers
Implants
Invisalign
Braces
Essential Care Dental Smile Gallery | (07) 3333 2011